Understanding Staghorn Kidney Stones
Kidney stones are a common yet painful issue, but staghorn kidney stones are a much more severe form. These stones are large and complex, often occupying significant areas within the kidney. In this article, we will explore what staghorn kidney stones are, their causes, symptoms, and the treatments available, helping you manage or avoid this condition.

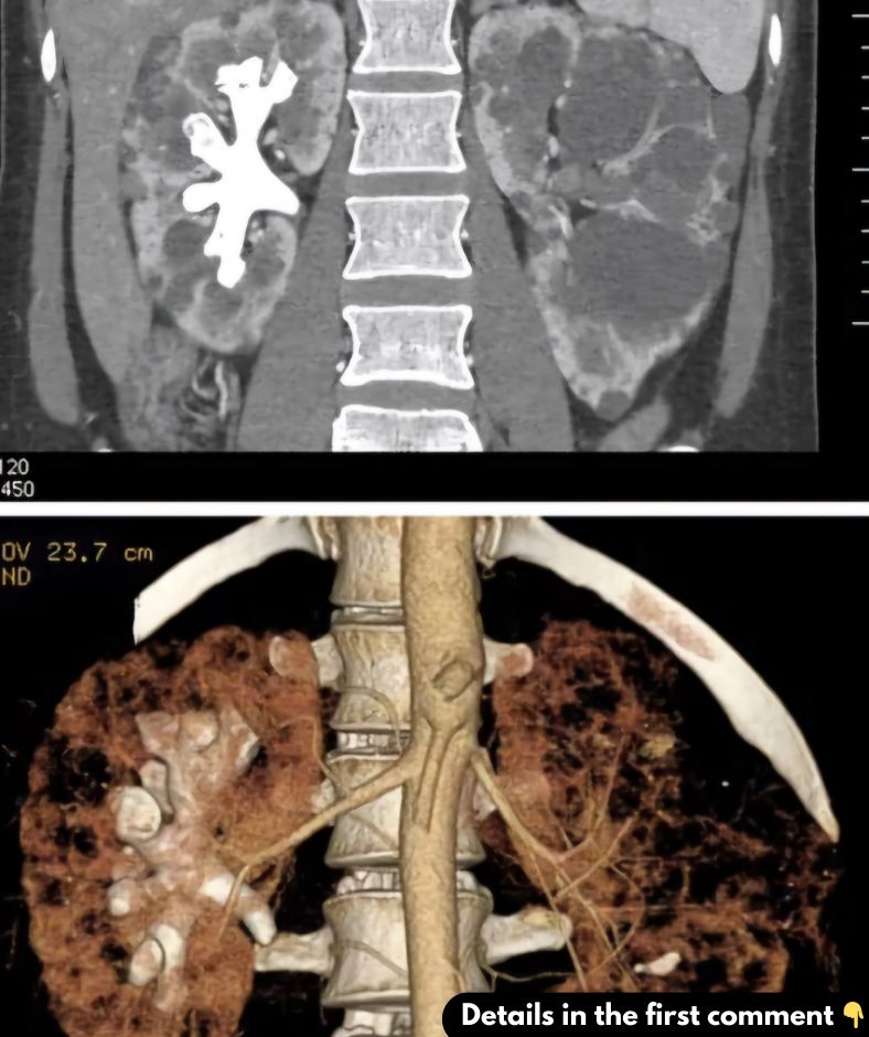
Staghorn kidney stones get their name from their distinctive antler-like appearance. These stones are not only large but also branch into the kidneyโs cavities like a deerโs antlers, filling the renal pelvis and extending into the calyces. Typically made of a compound called struvite, these stones are often a result of repeated urinary tract infections and are more prevalent in women.
One of the biggest challenges posed by staghorn stones is their size and intricate location within the kidney, making them less likely to pass naturally. If not surgically removed, they can cause substantial damage to the kidney, emphasizing the need for early diagnosis and prompt treatment.
The onset of staghorn kidney stones might not always present immediate symptoms. They can develop gradually, leading to persistent mild discomfort, which can easily be ignored or mistaken for something less serious. However, as they grow, the symptoms can become quite severe.
Recognizing these symptoms early is crucial, as they indicate the need for medical intervention. If untreated, staghorn stones can cause serious issues like kidney failure.
The primary catalyst for the development of staghorn kidney stones is recurring urinary tract infections. Here are some key contributors:
Bacterial infections are a significant cause. Specifically, bacteria that produce urease can promote an alkaline environment in the urine, encouraging the formation of struvite crystals. Over time, these crystals accumulate into large staghorn stones.
Diet and hydration also influence stone formation. Foods high in salt, animal proteins, and oxalates (found in foods like spinach and certain nuts) increase the risk of forming stones. Adequate hydration is crucial to help flush minerals from the kidneys, preventing stones from forming.
Genetics can also play a role. Individuals with a family history of kidney stones, staghorn or otherwise, have a higher chance of developing them.
Certain health conditions such as cystinuria, hyperparathyroidism, and some types of renal tubular acidosis can boost the risk of staghorn kidney stones. These conditions alter the balances of key minerals, facilitating stone development.
Prompt identification of staghorn stones is vital to avoid critical complications. Doctors typically use a mix of methods to confirm their presence:
Managing staghorn kidney stones requires tailored treatments due to their size and location. Here are the primary options available:
PerCutaneous NephroLithotomy (PCNL) is often the preferred procedure for dealing with stones larger than 2 cm. In this minimally invasive surgery, a small incision is made in the back through which a nephroscope is passed to break and remove stone fragments, ensuring a high success rate with reduced recovery time.
ExtraCorporeal Shock Wave Lithotripsy (ESWL) might be considered, although its success diminishes with larger stones. This non-invasive treatment uses shock waves to fragment the stone, allowing smaller pieces to be passed naturally in the urine.
Open surgery is less frequent today but remains an option for significantly large or complicated stones. It involves a direct incision into the kidney to remove the stone manually and is used when other procedures are unsuitable or unsuccessful.
If an infection is present, antibiotics are necessary to tackle the bacteria before and after surgical treatment, minimizing the risk of complications such as sepsis. Continuous antibiotics may be recommended for those prone to repeated infections.




